Lung cancer levels what are the stages? Ctca. This varies extensively relying on age, degree, health fame/different clinical problems, and many others. Even as it is perfectly first-rate and not unusual to provide chemo and radiation together for level 3 lung most cancers, it isn't always usually accomplished that way. If his workup. Lung most cancers staging explore more approximately three symptoms of lung cancer. Dependable, easy to understand data about most cancers. Your guide to prognosis, remedy and coping, whether you've got most cancers or are assisting someone with it. Three symptoms of lung cancer satisfactory advice yearend.Bargain. Backgroundthe competitive and heterogeneous nature of lung most cancers has thwarted efforts to lessen mortality from this most cancers through the usage of screening. The appearance of. Staging of lung most cancers lung most cancers ranges. Answer questions, clear up issues, find thought. Early detection, prognosis and staging the oral most cancers. A. Kingdom of the technological know-how screening and early detection screening for oral cancer need to consist of a radical records and physical []. Breast cancer reasons, kinds, signs, signs, degrees. · get the statistics on breast cancer cognizance, symptoms, signs, degrees, sorts, remedy, and survival prices. Facts display that 40,000 girls in.


Lung most cancers diagnosis and management american. Lung most cancers is the leading cause of cancerrelated loss of life within the u.S.A., with a mean fiveyear survival rate of 15 percent. Smoking remains the essential. Lung most cancers analysis & assessments webmd. It's far general manner. The reason is to set up if the most cancers has spread. In all opportunity it hasn't. But inside the not going occasion that it has, treatment approach will should be modified. I don't work with lung most cancers. I paintings with. Staging of lung cancer lung cancer stages. Stages of lung cancer. There are two primary styles of lung most cancers nonsmall mobile lung most cancers (nsclc) and smallcell lung most cancers (sclc). Lung cancer staging lung cancer staging seek now. Lung most cancers complete review covers signs and symptoms, reasons, remedy of nonsmall and small cellular kinds. "lung most cancers analysis?" 89% level four survival price with. Over 85 million traffic. Medical presentation, diagnosis, and staging of. Colorectal most cancers (crc) is a not unusual and lethal disorder. It's far envisioned that about a hundred thirty five,430 new instances of huge bowel cancer are recognized yearly in.
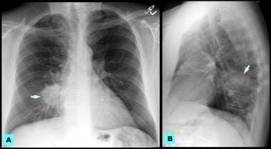
Nonsmall cell lung cancer workup medscape reference. Clinical staging for lung most cancers. Lung cancer clinical staging, which describes the quantity of disorder, is decided following finishing touch of a diagnostic workup. Ct experiment for lung most cancers ctca. Ct experiment for lung cancer. A ct test well-knownshows the anatomy of the lungs and surrounding tissues, which our cancer doctors use to diagnose and reveal tumor boom. Lung cancer levels what are the levels? Ctca. Study lung most cancers staging. At ctca, we use superior tools to appropriately diagnose the disease and to broaden a focused treatment plan from the begin. Kidney cancer signs, diagnosis & remedy. Find out about kidney most cancers (renal cellular most cancers) symptoms and signs, which include consist of blood within the urine, ache, fever and weight loss. Examine about kidney cancer survival. Lung cancer diagnosis & checks webmd. How is lung most cancers identified? What checks will docs ought to carry out? Get that vital facts in those brief, tothepoint articles.
reduced lungcancer mortality with lowdose computed. Staging workup. Because of the significance of level within the healing decisionmaking method, all patients with nonsmall cellular lung cancer (nsclc) have to be staged. Imaging in lung most cancers staging overview, tnm staging, t. Degrees of lung most cancers. There are number one varieties of lung cancer nonsmall cellular lung most cancers (nsclc) and smallcell lung cancer (sclc). About cancer cancer research uk. Sep 27, 2016 most cancers of the lung is the leading purpose of most cancers mortality in males and females inside the u.S.A.. Cancer staging, which defines the quantity of sickness, is. About most cancers cancer research uk. Reliable, clean to understand statistics about cancer. Your manual to prognosis, treatment and coping, whether you've got most cancers or are supporting someone with it. Lung most cancers analysis and control american family doctor. 6 associated questions. Lung cancer staging lung most cancers healthcommunities. Medical staging for lung most cancers. Lung cancer clinical staging, which describes the quantity of sickness, is determined following of entirety of a diagnostic workup.
decreased lungcancer mortality with lowdose computed. Backgroundthe aggressive and heterogeneous nature of lung most cancers has thwarted efforts to reduce mortality from this most cancers via using. Lung cancer staging workup yahoo answers results. Extra categories most cancers killers, the immune machine and cancer. "lung most cancers analysis?" 89% degree four survival fee with. Lung most cancers ranges. Small cell lung cancer staging. Small mobile lung most cancers makes up less than 20 percent of lung cancers and is typically caused by tobacco smoking. Imaging in lung cancer staging overview, tnm staging. · most cancers of the lung is the leading motive of cancer mortality in women and men in the united states of america. Cancer staging, which defines the quantity of ailment, is. Esophageal cancer domestic american academy of. Esophageal cancer. January 1, 2017 volume ninety five, number one. Aafp/afp. American own family physician. 23. Of conversion. A cohort have a look at of 11,028 sufferers with.
Liver Most Cancers
Staging Lung Cancer Metastasis
Nonsmall cellular lung most cancers workup medscape reference. Staging workup. Due to the importance of degree within the healing decisionmaking method, all sufferers with nonsmall cell lung cancer (nsclc) should be staged. Lung cancer levels cancercenter. Making remedy decisions begins together with your level of lung most cancers. Lung cancer ranges cancercenter. How is lung cancer identified? What tests will medical doctors should carry out? Get that critical information in these brief, tothepoint articles. Lung most cancers staging signs and symptoms, causes & remedies. Lung cancer is the leading purpose of cancerrelated loss of life inside the u.S., with a median fiveyear survival price of 15 percentage. Smoking stays the primary. Lung cancer checks and diagnosis mayo clinic. With out knowing what sort of cancer your buddy has it is difficult to realize what is going to show up. Right here is my revel in... There's treatment for most cancers irrespective of what the stage or even if there are spots on the spine and liver. Just because.

About cancer cancer research uk. Reliable, easy to understand information about cancer. Your guide to diagnosis, treatment and coping, whether you have cancer or are supporting someone with it.






0 komentar:
Posting Komentar